Blister of Bone
Home Up Location Diagnosis
Back Next

 

Atlas of Signs in Musculoskeletal Radiology is approved by the ARRS (American Roentgen Ray Society) and is included in AJR Webreview
A. Gentili,MD, M. Beller, MD, S. Masih, MD, L.L. Seeger, MD

Diagnosis:

Aneurysmal bone cyst

Discussion:

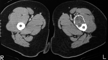
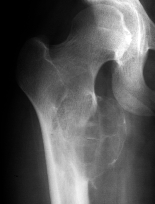
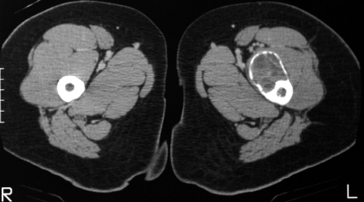
Frontal radiograph of the right hip and CT scan of the hips on a different patient. Both reveal a cystic bubbly lesion with fine internal septations. Additionally, compromise of the cortical margin of the lesion is present as well. The "blister of bone" sign refers to a bubbly cystic lesion with a saccular protrusion of the cortex with multiple fine internal septae. The shell of the lesion may fracture resulting in extravasation of blood into the adjacent tissues. This sign is highly characteristic of aneurysmal bone cyst.


AP hip - Click on the image for a larger versionA - Click on the image for a larger versionB

 

Google
 
Web Gentili.net


Atlas of Signs in Musculoskeletal Radiology is approved by the ARRS (American Roentgen Ray Society) and is included in AJR Webreview
A. Gentili,MD, M. Beller, MD, S. Masih, MD, L.L. Seeger, MD