Terry-Thomas Sign
Home Up Location Diagnosis
Back Next

 

Atlas of Signs in Musculoskeletal Radiology is approved by the ARRS (American Roentgen Ray Society) and is included in AJR Webreview
A. Gentili,MD, M. Beller, MD, S. Masih, MD, L.L. Seeger, MD

Diagnosis:

Scapholunate dissociation

Discussion:

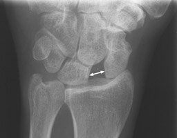
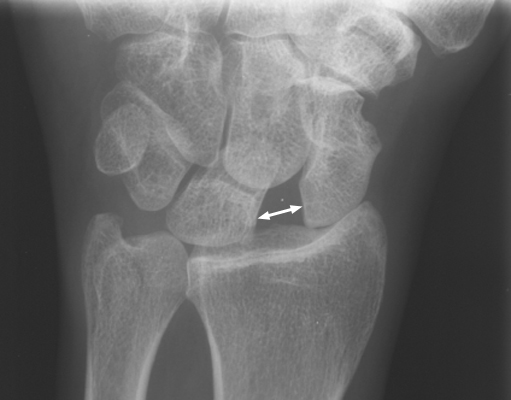
Plain film of the wrist revealing subluxation of the scaphoid bone with obvious widening between the scaphoid and lunate carpal bones. Widening of the joint space between the scaphoid and lunate, seen with rotatory subluxation of the scaphoid (scapholunate dislocation) space is reminiscent of the gap between the teeth of the British comedian Terry Thomas. It has also been called the David Letterman sign or the Lauren Hutton sign (all people with a gap between their two front teeth.) It is an important sign to recognize, since it is a cause of chronic wrist pain and disability if left untreated.


AP wrist - Click on the image for a larger version

References:

bulletFrankel VH.: The Terry-Thomas sign. Clin Orthop 1977 Nov-Dec;(129):321-2.          [See related articles]

 

 

Google
 
Web Gentili.net


Atlas of Signs in Musculoskeletal Radiology is approved by the ARRS (American Roentgen Ray Society) and is included in AJR Webreview
A. Gentili,MD, M. Beller, MD, S. Masih, MD, L.L. Seeger, MD