|
Atlas of Signs in Musculoskeletal Radiology is approved by the ARRS (American Roentgen Ray Society) and is included in AJR WebreviewA. Gentili,MD, M. Beller, MD, S. Masih, MD, L.L. Seeger, MD
|
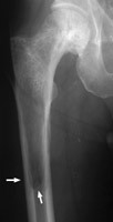
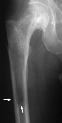
Diagnosis:Paget's Disease Discussion:Paget's disease has three distinct phases visible radiographically: a lytic phase, a sclerotic phase, and a mixed lytic-sclerotic phase. When involvement of the lytic phase is present in a long bone, the lytic changes may advance as a V- or wedge-shaped radiolucent area, clearly demarcated from the adjacent bone. This has been likened to a blade of grass. References:
|
|
Atlas of Signs in Musculoskeletal Radiology is approved by the ARRS (American Roentgen Ray Society) and is included in AJR WebreviewA. Gentili,MD, M. Beller, MD, S. Masih, MD, L.L. Seeger, MD
|