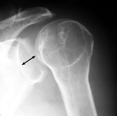
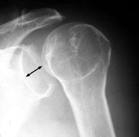
Rim Sign
Home Up Location Diagnosis
Back Next

 

Atlas of Signs in Musculoskeletal Radiology is approved by the ARRS (American Roentgen Ray Society) and is included in AJR Webreview
A. Gentili,MD, M. Beller, MD, S. Masih, MD, L.L. Seeger, MD

Diagnosis:

Posterior shoulder dislocation

Discussion:

AP radiograph reveals apparent increase in space between the anterior rim of the glenoid fossa and the medial aspect of the humeral head. This is termed the "positive rim sign." It may be present in posterior dislocation because the normal glenoid fossa faces as much anteriorly as it does laterally. Since the dislocated humeral head rests against the posterior glenoid rim, the space between the anterior rim and the humeral head appears increased.


Shoulder posterior dislocation - Click on the image for a larger version

References:

bulletArndt JH, Sears AD: Posterior dislocation of the shoulder. AJR Am J Roentgenol 1965, 94:639-635.

 

 

Google
 
Web Gentili.net


Atlas of Signs in Musculoskeletal Radiology is approved by the ARRS (American Roentgen Ray Society) and is included in AJR Webreview
A. Gentili,MD, M. Beller, MD, S. Masih, MD, L.L. Seeger, MD