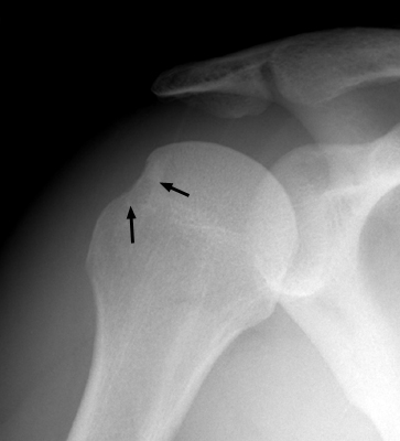
Hill-Sachs Sign
Home Up Location Diagnosis
Back Next

 

Atlas of Signs in Musculoskeletal Radiology is approved by the ARRS (American Roentgen Ray Society) and is included in AJR Webreview
A. Gentili,MD, M. Beller, MD, S. Masih, MD, L.L. Seeger, MD

Diagnosis:

s/p anterior shoulder dislocation

Discussion:

Frontal film of the right shoulder which reveals a defect of the posterolateral aspect of the humeral head, consistent with a Hill-Sachs deformity. The Hill-Sachs sign represents deformity of the superior, posterior border of the humeral head and is typically a result of impaction of the anterior inferior surface of the glenoid labrum on the posterolateral aspect of the humeral head during dislocation.


 - Click on the image for a larger version

References:

bulletHill HA, Sachs MD: The grooved defect of the humeral head: A frequently unrecognized complication of dislocation of the shoulder joint. Radiology 1940, 35:690-700.

 

 

Google
 
Web Gentili.net


Atlas of Signs in Musculoskeletal Radiology is approved by the ARRS (American Roentgen Ray Society) and is included in AJR Webreview
A. Gentili,MD, M. Beller, MD, S. Masih, MD, L.L. Seeger, MD