Elbow Fat Pad Sign
Home Up Location Diagnosis
Back Next

 

Atlas of Signs in Musculoskeletal Radiology is approved by the ARRS (American Roentgen Ray Society) and is included in AJR Webreview
A. Gentili,MD, M. Beller, MD, S. Masih, MD, L.L. Seeger, MD

Diagnosis:

Elbow effusion

Discussion:

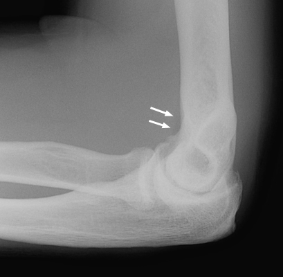
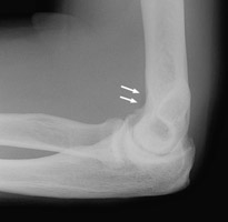
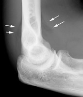
A. Normal lateral radiograph of the elbow. B. Plain film radiograph of the lateral elbow which reveals the classic elbow fat pad sign. This is an invaluable soft tissue finding in cases of intra-articular injury of the elbow. Fat is normally present within the joint capsule of the elbow, but outside the synovium. Typically "hidden" in the concavity of the olecranon and coronoid fossae, the fat is usually not visible on the lateral radiograph. However, injuries that produce intra-articular hemorrhage cause distension of the synovium and forces the fat out of the fossa, producing triangular radiolucent shadows anterior and posterior to the distal end of the humerus. When present in a patient with a history of acute trauma to the elbow, the fat pad sign indicates the presence of an intra-articular hemorrhage, which in turn is often associated with an intra-articular skeletal injury (usually the radial head in an adult).


Normal lateral rlbow - Click on the image for a larger versionALateral elbow - Click on the image for a larger versionB

References:

bulletJackman RJ, Pugh DG: The positive elbow fat pad sign in rheumatoid arthritis. Am J Roentgenol Radium Ther Nucl Med 1970 Apr;108(4):812-8.          [See related articles]
bulletJonutis AJ: ["Fat-pad sign" and elbow injuries]. [Article in German]. Schweiz Med Wochenschr 1974 Aug 17;104(33):1158-60.          [See related articles]
bulletMurphy WA, Siegel MJ: Elbow fat pads with new signs and extended differential diagnosis. Radiology 1977 Sep;124(3):659-65.          [See related articles]

 

 

Google
 
Web Gentili.net


Atlas of Signs in Musculoskeletal Radiology is approved by the ARRS (American Roentgen Ray Society) and is included in AJR Webreview
A. Gentili,MD, M. Beller, MD, S. Masih, MD, L.L. Seeger, MD