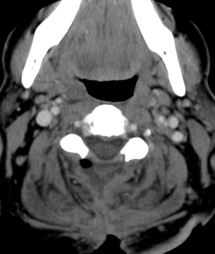
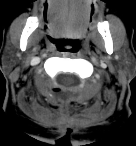
| Contrast enhanced axial CT scan demonstrates unroofing
of the spinal canal from the C2 to the C7 with bilateral laminectomies and
removal of the spinous processes. There is a fluid collection without
significant rim enhancement in the post surgical bed at the C2 level,
posterior to the spinal canal. Within this, there is some air. The fluid
collection appears to extend inferiorly to the C3 level, and then a small
slit of fluid continues inferiorly to the C5 - 6 level (not shown), where it appears
to communicate with the midline incision . |