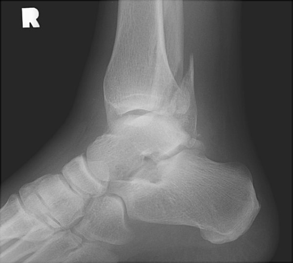
Return to Weber C Fracture