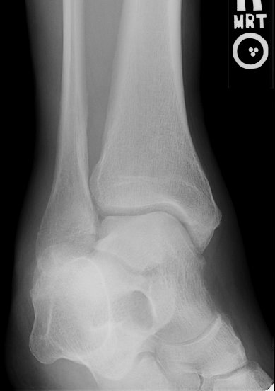
Return to Weber A Fracture