t
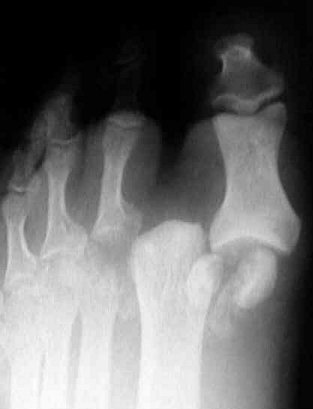
Return to Turf Toe Injury