t
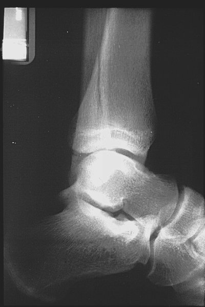
Return to Triplane Fracture