t
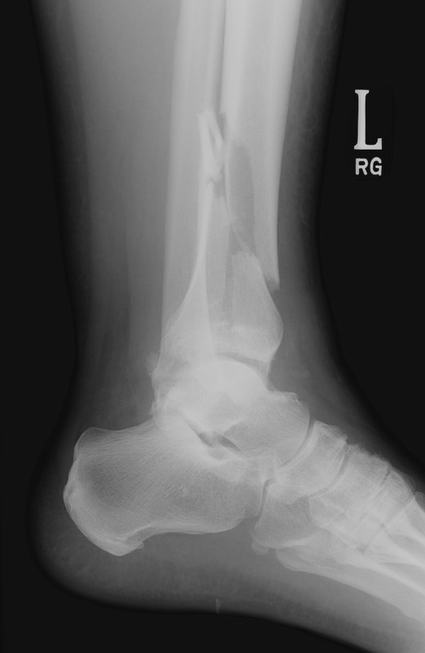
Return to Pilon Fracture