t
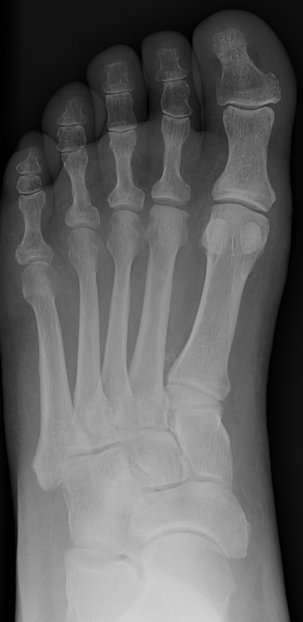
Return to Freiberg's Infarction