t
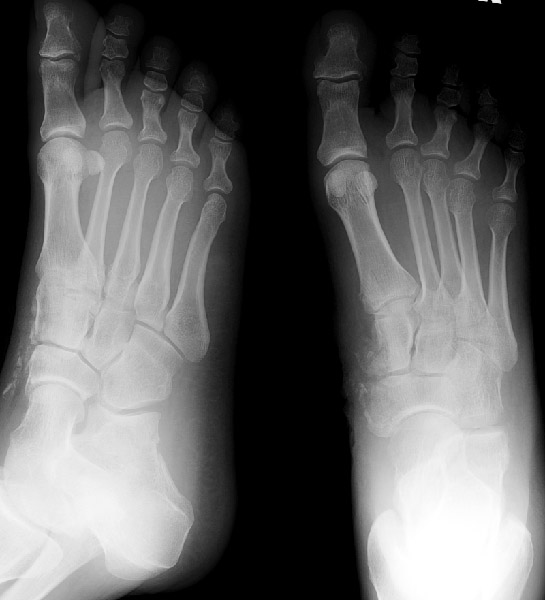
Return to Cuneiform Fracture