t
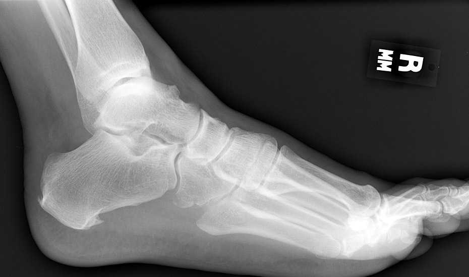
Return to Cuboid Fracture