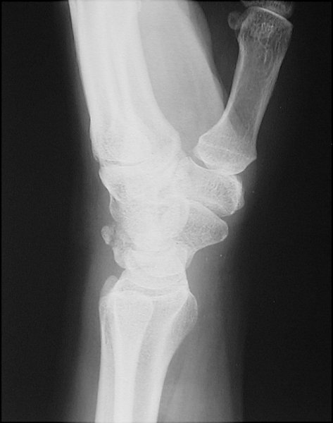
Return to Triquetral Fracture