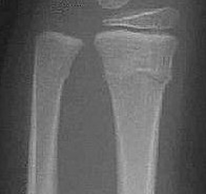
Return to Torus Fracture