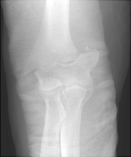
Return to Supracondylar Fracture (Humerus)