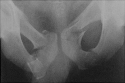
Return to Straddle Injury