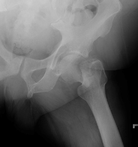
Return to Pathologic Fracture (Femur)