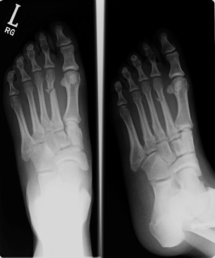
Return to Metatarsal Fracture