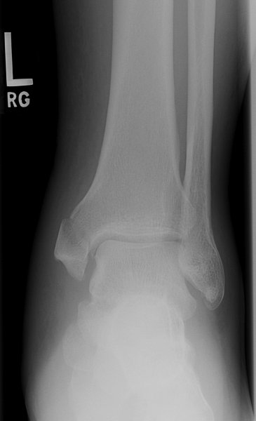
Return to Medial Malleolus Fracture