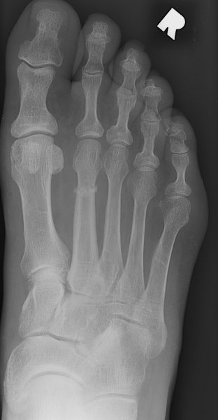
Return to March Fracture