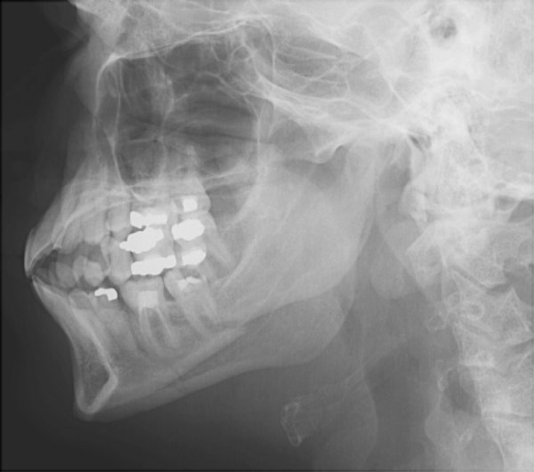
Return to Mandible Fracture