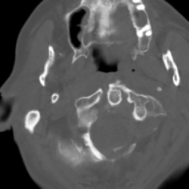
Return to Jefferson Fracture