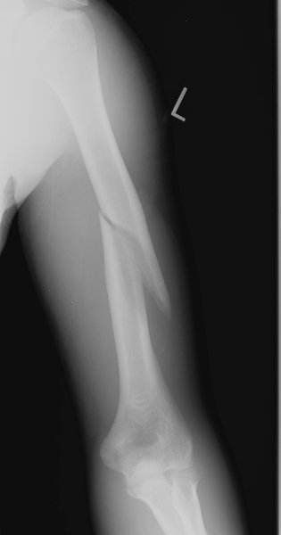
Return to Humeral Shaft Fracture