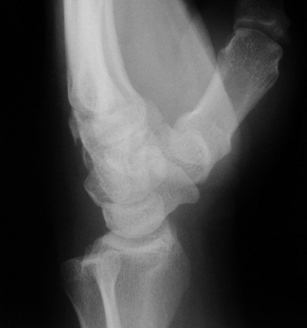
Return to Hamate Fracture