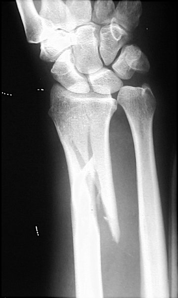
Return to Galeazzi's Fracture