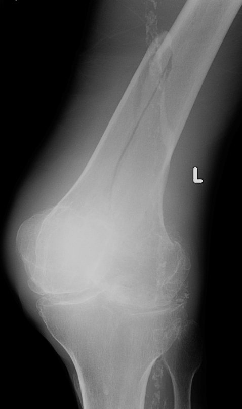
Return to Femoral Shaft Fracture