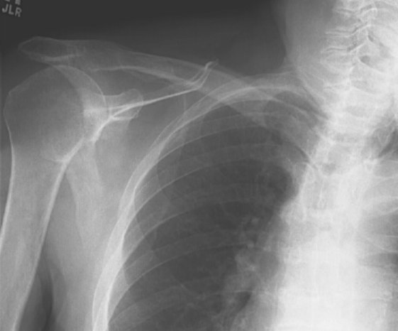
Return to Anterior Dislocation (Humerus)