Pathologic Fracture (Humerus)

Return to Main Menu

Pathologic fractures result from an underlying abnormality of the bone, usually either from a primary bone tumor or from metastatic disease. However, pathologic fractures may result from metabolic conditions as well. A pathologic fracture results when normal stress is placed onto abnormal bone.
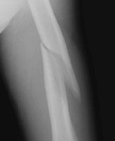
 - Click on the image for a larger versionALateral radiograph of the humerus. There is a comminuted fracture of the shaft. Examining the image closely shows a permeative destructive process as well. This patient had lung cancer with other osseous metastases. This is a pathologic fracture.
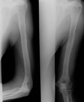
 - Click on the image for a larger versionBAP and lateral radiographs of the humerus. One year prior, the lytic lesion is not apparent.
 - Click on the image for a larger versionCAP radiograph of the humerus. A similar fracture of the humerus is apparent. Notice that there is no destructive process. This patient was in an automobile accident.

Links to online textbooks

References:


Google
 
Web Gentili.net

©Gentili.net 1998-2006