Ulnar Collateral Ligament Injury

Return to Main Menu

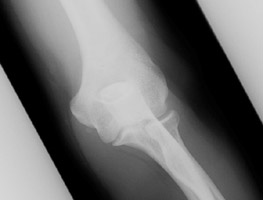
Similar to Pelligrini-Stieda disease of the knee, repetitive injury to the elbow may result in calcification of portions of the ulnar collateral ligament. These patients are at risk for rupture of this ligament.
 - Click on the image for a larger versionAAP radiograph of the elbow. This shows heterotopic calcification at the ulnar side of the elbow, due to calcification of the ulnar collateral ligament.

Links to online textbooks

References:


Google
 
Web Gentili.net

©Gentili.net 1998-2006