Maxillary Sinus Fracture

Return to Main Menu

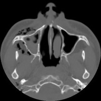
Unilateral fractures of the lateral wall of the maxillary sinuses are generally due to direct trauma (either penetrating or blunt). Air within the maxillary sinus escapes into the subcutaneous tissues. If there is an associated fracture of the zygomatic arch (not present in this case), the complex is termed a tripod fracture.
 - Click on the image for a larger versionASubmentovertical radiograph. This image of the paranasal sinuses reveals extensive subcutaneous emphysema.
 - Click on the image for a larger versionBAxial CT. This image through the maxillary sinuses confirms the presence of subcutaneous gas.
 - Click on the image for a larger versionCAxial CT. This image through the maxillary sinuses reveals a fracture of the lateral wall of the right maxillary sinus, the source of the emphysema

Links to online textbooks


Google
 
Web Gentili.net

©Gentili.net 1998-2006