Phalangeal Fracture (Foot)

Return to Main Menu

Phalangeal fractures typically occur due to direct trauma or from a fall. Often, they are not treated operatively. Fractures of the distal phalanx of the first digit are the most common phalangeal injuries of the foot.
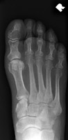
 - Click on the image for a larger versionAAP and oblique radiographs of the foot. These reveal several fractures. There is a fracture of the distal aspect of the first metatarsal as well as fractures of the proximal aspects of the proximal phalanges of digits one and two.
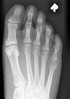
 - Click on the image for a larger versionBAP radiograph of the foot demonstrates a fracture of the fourth proximal phalanx.
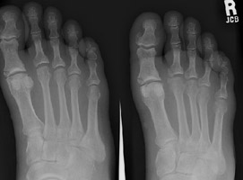
 - Click on the image for a larger versionCAP radiograph of the foot shows a small fracture of the fifth proximal phalanx.

Links to online textbooks

References:


Google
 
Web Gentili.net

©Gentili.net 1998-2006