Olecranon Fracture

Return to Main Menu

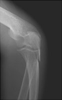
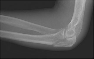
Olecranon fractures result from a direct fall onto a flexed elbow. As the triceps inserts upon the olecranon, most olecranon fractures tend to be displaced. These fractures are not generally comminuted.
 - Click on the image for a larger versionALateral radiograph of the elbow. The typical appearance of an olecranon fracture. The triceps tendon has distracted the fracture fragments.
 - Click on the image for a larger versionBOblique radiograph of the elbow. This image also demonstrates the olecranon fracture.

Links to online textbooks

References:


Google
 
Web Gentili.net

©Gentili.net 1998-2006