Maisonneuve Fracture

Return to Main Menu

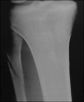
Typically, a Maisonneuve fracture involves a fracture of the medial malleolus of the ankle with disruption of the tibiofibular syndesmosis. This results in a fracture of the proximal third of the fibula. The Maisonneuve fracture results from an ankle eversion injury.
 - Click on the image for a larger versionALateral radiograph of the ankle. This shows a fracture of the posterior lip of the tibia.
 - Click on the image for a larger versionBAP radiograph of the upper tibia and fibula. This shows a fracture of the proximal fibula. This is a Maisonneuve fracture.

Links to online textbooks

References:


Google
 
Web Gentili.net

©Gentili.net 1998-2006