Intertrochanteric Fracture

Return to Main Menu

Extra capsular fractures which involve the femoral trochanters include intertrochanteric and subtrochanteric fractures. The intertrochanteric fracture is by far the most common and is classified according to the status of the lesser and greater trochanter. If neither of these is fractured, the fracture is termed a two part fracture. If either the lesser or greater is fractured, then the fracture consists of three parts. If both are fractured, the fracture is termed a four part fracture. These fractures generally result from a fall and typically occur in postmenopausal women.
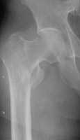
 - Click on the image for a larger versionAAP radiograph of the left hip. This demonstrates an intertrochanteric fracture of the left femur.
 - Click on the image for a larger versionBLateral radiograph of the left hip. This shows the fracture line through the intertrochanteric region of the left femur.
 - Click on the image for a larger versionCJudet view of the right hip. Another example of an intertrochanteric fracture. This fracture is moderately displaced.
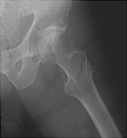
 - Click on the image for a larger versionDAP radiograph of the right hip. A third example of an intertrochanteric fracture.
 - Click on the image for a larger versionEAP radiograph of the right hip. The preceding fracture has undergone fixation with a dynamic hip screw and side plate.

Links to online textbooks

References:


Google
 
Web Gentili.net

©Gentili.net 1998-2006