Basketball Foot (Subtalar Dislocation)

Return to Main Menu

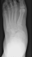
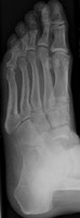
Dislocations of the subtalar joint are rare. Peritalar dislocation refers to dislocation at the talocalcaneal and talonavicular joints. Medial dislocation is the most common variety of this dislocation, resulting from severe inversion forces. Total talar dislocation refers to tibiotalar and subtalar joint dislocation.
 - Click on the image for a larger versionAAP radiograph of the ankle. This demonstrates the typical appearance of talonavicular dislocation.
 - Click on the image for a larger versionBOblique radiograph of the ankle. There is uncovering of the talus, due to dislocation.
 - Click on the image for a larger versionCAP radiograph of the foot. A different patient shows talonavicular dislocation.

Links to online textbooks

References:


Google
 
Web Gentili.net

©Gentili.net 1998-2006