Greenstick Fracture

Return to Main Menu

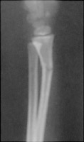
The greenstick fracture results from direct trauma. There is an incomplete fracture of a long bone (radius or ulna) with cortical disruption on one side and deformity on the other, resulting in bowing of the bone.
 - Click on the image for a larger versionAAP radiograph of the forearm. This demonstrates the typical appearance of a greenstick fracture.

Links to online textbooks

References:


Google
 
Web Gentili.net

©Gentili.net 1998-2006