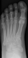
Freiberg's Infarction

Return to Main Menu

This is a form of avascular necrosis. It is idiopathic (possibly post-traumatic). The process typically affects the second metatarsal head and is unilateral.
 - Click on the image for a larger versionAAP radiograph of the foot. The typical appearance of Freiberg's infarction.

Links to online textbooks

References:


Google
 
Web Gentili.net

©Gentili.net 1998-2006