Fractures included under this name include compression fractures of the talar neck, fractures of the body, fractures of the posterior process, or fracture dislocation injuries. The talar neck is the most frequently injured site and the talus is the second most injured bone in the foot (calcaneus is first). Proximal avascular necrosis is a potential complication of neck fractures. These fractures were named during the early days of aviation when crashes were more common.
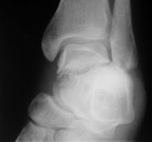
A | Lateral radiograph of the ankle. This shows a displaced fracture of the talar neck. |
B | Mortise radiograph of the ankle. This better shows the involvement of the fracture. |
Links to online textbooks
References:
- Sanders TG, Ptaszek AJ, Morrison WB: Fracture of the lateral process of the talus: appearance at MR imaging and clinical significance
Skeletal Radiol. 1999 Apr;28(4):236-9.
[See related articles]
- Tucker DJ, Feder JM, Boylan JP: Fractures of the lateral process of the talus: two case reports and a comprehensive literature review
Foot Ankle Int. 1998 Sep;19(9):641-6.
[See related articles]
- Bencardino J, Rosenberg ZS, Delfaut E: MR imaging in sports injuries of the foot and ankle
Magn Reson Imaging Clin N Am. 1999 Feb;7(1):131-49.
[See related articles]
- Wechsler RJ, Schweitzer ME, Karasick D, Deely DM, Glaser JB: Helical CT of talar fractures
Skeletal Radiol. 1997 Mar;26(3):137-42.
[See related articles]