Colles Fracture

Return to Main Menu

This is a common fracture in elderly patients, consisting of a transverse fracture of the distal radial metaphysis proximal to the joint with dorsal displacement of the distal fragment and volar dislocation. It results from a fall on an outstretched hand. The ulnar styloid is commonly fractured as well. Another name is the Pouteau fracture.
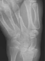
 - Click on the image for a larger versionAScaphoid deviated radiograph of the wrist. This view shows fractures of metacarpals three and four and an impacted fracture of the distal radius.
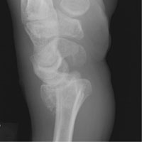
 - Click on the image for a larger versionBLateral radiograph of the wrist. This shows the typical appearance of Colles fracture with dorsal tilt of the distal radial fracture fragment.
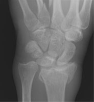
 - Click on the image for a larger versionCPA radiograph of the wrist. This demonstrates an impacted fracture of the radius.

Links to online textbooks

References:


Google
 
Web Gentili.net

©Gentili.net 1998-2006