Tibia and Fibula Fractures

Return to Main Menu

A large amount of force is required to produce fractures of both the tibia and fibula. Fractures of the diaphysis of the tibia are frequently associated with fibular fractures and are usually open. Consideration of popliteal artery involvement for proximal tibial fractures is important as is monitoring for compartment syndrome.
 - Click on the image for a larger versionALateral, AP, and oblique radiographs of the tibia and fibula. These reveal mildly displaced spiral fractures of both the tibia and fibula.
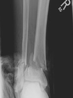
 - Click on the image for a larger versionBAP radiograph of the tibia and fibula in a different patient. This demonstrates comminuted and mildly displaced fractures of the distal fibula and tibia.
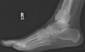
 - Click on the image for a larger versionCLateral radiograph of the foot. This also demonstrates the fractures of the distal fibula and tibia.
 - Click on the image for a larger versionDLateral radiograph of the tibia and fibula. Notice the dense band of sclerosis at the fracture site. This appearance is due to nonunion of the fracture fragments.

Links to online textbooks

References:


Google
 
Web Gentili.net

©Gentili.net 1998-2006