Monteggia Fracture-Dislocation

Return to Main Menu

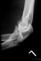
Monteggia fracture-dislocations are classified by the Bado system. Bado type I injuries are characterized by a proximal ulnar fracture with anterior dislocation of the radial head. This is due to a forceful pronation injury of the forearm and is the most common type. Bado type II injuries are "reversed" Monteggia fracture-dislocation injuries. Here, there is posterior angulation of the ulnar fracture site and posterior dislocation of the radial head. Bade type III and IV injuries are rare.
 - Click on the image for a larger versionAAP radiograph of the elbow. This shows a comminuted fracture of the proximal ulna.
 - Click on the image for a larger versionBLateral radiograph of the elbow. This demonstrates posterior dislocation of the radial head, a "reversed" Monteggia injury (Bado type II).

Links to online textbooks

References:


Google
 
Web Gentili.net

©Gentili.net 1998-2006