Tibial Shaft Fracture

Return to Main Menu

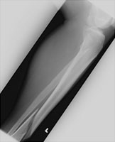
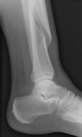
Fractures of the shaft of the tibia are due to direct trauma. This particular fracture is spiral in nature. More comminuted fractures of the proximal tibia may compromise blood supply of the popliteal artery, and angiography may be considered.
 - Click on the image for a larger versionAAP radiograph of the tibia and fibula. There is a spiral fracture of the tibia.
 - Click on the image for a larger versionBLateral radiograph of the tibia and fibula. This demonstrates a spiral fracture of the tibia.

Links to online textbooks

References:


Google
 
Web Gentili.net

©Gentili.net 1998-2006