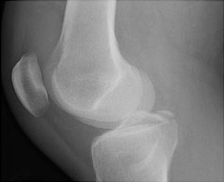
Tibial Fracture (PCL Avulsion)

Return to Main Menu

The anterior cruciate ligament attaches on or adjacent to the medial tibial spine of the intercondylar eminence while the posterior cruciate ligament attaches to the posterior surface of the tibia. Fractures of the medial tubercle (spine) therefore indicate that the ACL has been likely be torn from the tibia.
 - Click on the image for a larger versionASagittal MRI. This gradient echo sequence image shows avulsion of a portion of the posterior tibia by the PCL.
 - Click on the image for a larger versionBLateral radiograph of the knee. This shows the radiographic appearance of the MRI findings.

Links to online textbooks

References:


Google
 
Web Gentili.net

©Gentili.net 1998-2006