Posterior Dislocation (Humerus)

Return to Main Menu

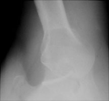
Posterior dislocations of the humerus account for less than 5 % of shoulder dislocations and are usually due to direct force. Classically, the causes are seizure or electric shock. The axillary view is the best view to demonstrate this type of dislocation.
 - Click on the image for a larger versionAAP radiograph of the right shoulder. A cursory examination reveals no obvious dislocation.
 - Click on the image for a larger versionBAxillary radiograph. Notice the anterior coracoid with the posteriorly dislocated humeral head relative to the glenoid.

Links to online textbooks

References:


Google
 
Web Gentili.net

©Gentili.net 1998-2006