Acetabular Fracture

Return to Main Menu

Acetabular fractures are usually the result of major direct trauma to the pelvis and femur. The acetabulum may be classified into the anterior (iliopubic) column, the posterior (ilioischial) column, and the dome of the acetabulum. Posterior wall fracture is usually the result of posterior hip dislocation.
 - Click on the image for a larger versionAAP radiograph of the right hip. This shows a comminuted fracture of the acetabulum.
 - Click on the image for a larger versionBAxial CT. This demonstrates a fracture of the neck of the femur and the anterior column of the acetabulum.
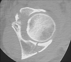
 - Click on the image for a larger versionCAxial CT. This image from a different patient shows fractures of both columns of the acetabulum.

Links to online textbooks

References:


Google
 
Web Gentili.net

©Gentili.net 1998-2006