Barton Fracture

Return to Main Menu

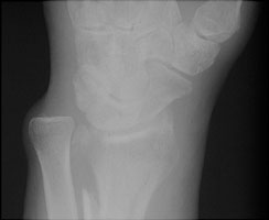
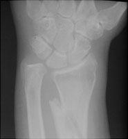
The Barton fracture consists of an intraarticular fracture of the dorsal margin of the distal radius. The fracture line is oblique and extends to the radiocarpal joint. The fracture results from a fall on an outstretched hand.
 - Click on the image for a larger versionAPA radiograph of the wrist. There is irregularity of the distal radial margin. In addition, a fracture of the distal radius is appreciated.
 - Click on the image for a larger versionBLateral radiograph of the wrist. Neither fracture is well seen.
 - Click on the image for a larger versionCOblique radiograph of the wrist. This shows the fracture of the dorsal margin of the distal radius with some distraction between the major fracture fragments.

Links to online textbooks

References:


Google
 
Web Gentili.net

©Gentili.net 1998-2006