Glenoid Fracture

Return to Main Menu

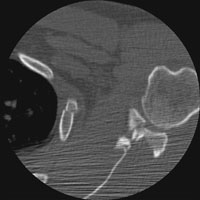
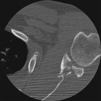
Glenoid fractures are usually the result of blunt trauma to the upper extremity. Subtle fractures can be difficult to detect on conventional radiographs; CT may be required for full diagnosis. A special glenoid fracture is termed the Bankart fracture. This consists of fracture of the inferior lip of the glenoid during anterior shoulder dislocation.
 - Click on the image for a larger versionAAxial CT. This image through the glenoid shows a comminuted intraarticular fracture.
 - Click on the image for a larger versionBAxial CT. This also shows the comminuted intraarticular fracture of the glenoid.
 - Click on the image for a larger versionCAxial CT. This image shows a Bankart fracture.
 - Click on the image for a larger versionDAxial CT. This image demonstrates the anteriorly dislocated humeral head, the source of the Bankart fracture

Links to online textbooks

References:


Google
 
Web Gentili.net

©Gentili.net 1998-2006